Conservative Root Canal Treatment Case of Large Periapical Cyst
Conservative Root Canal Treatment Case of Large Periapical Cyst
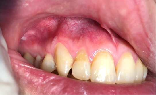
Patient Information: Male, 35 Years Old
8/27/2024,Chief Complaint: Weakness and discomfort in the right maxillary anterior teeth with mastication.

Panoramic radiograph reveals a large radiolucent lesion at the apex of #12

CBCT reveals a large ill-defined radiolucent lesion at the apex of #12

10/2/2024: Follow-up radiography post root canal treatment revealed reduced mesiodistal extent of apical radiolucency. Patient reported symptom relief, no discomfort.

12/29/2024: Follow-up visit: Improved soreness, weakness and softness with mastication. CBCT demonstrated decreased size of apical radiolucency in #12.
Root canal obturation

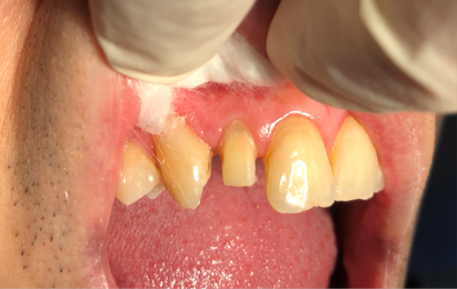
1/6/2025,post placement,tooth preparation,impression taking


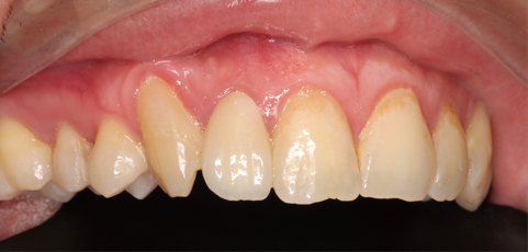
1/16/2025: All-ceramic crown restoration for #12; patient asymptomatic


The CBCT scans demonstrate the resolution process of periapical inflammation in tooth 12. Over a period of more than four months, the periapical inflammation has essentially subsided, and bone regeneration has initiated in the regions with bone defects caused by the prior inflammation.
