Closing diastemas
Closing diastemas
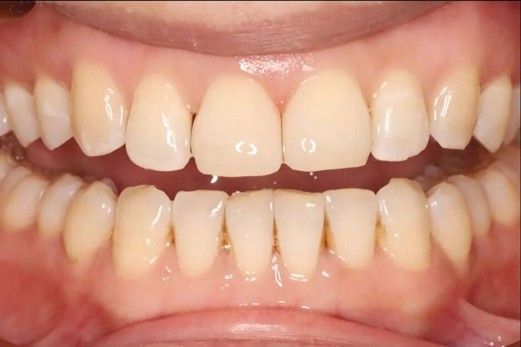
Closing diastemas is not difficult. The patient was very satisfied with the treatment result and said, "The dentist solved a lifelong problem for me in just 30 minutes."


There are two methods for diastema closure, and this is one of them: direct resin bonding restoration. It is performed directly by the dentist intraorally, featuring simplicity, directness and efficiency with immediate completion, which requires certain operational skills.


The other method is indirect restoration. It involves digital impression scanning (eliminating the need for traditional impression materials that fill the mouth), milling, sintering, glazing, and final bonding to the teeth, which requires a certain production time.
Both methods mentioned above are basically minimally invasive or non-invasive.
Diastema closure can also be achieved through orthodontic treatment. For specific approaches, please consult with your dentist.