The Difference Between Dental Cleaning and Periodontal Scaling
Difference Between Dental Cleaning and Periodontal Scaling
First, let’s clarify what "dental cleaning" is:Dental cleaning (also known as prophylaxis) removes plaque, tartar, and surface stains that cannot be eliminated by regular oral hygiene practices like brushing. It also maintains periodontal health and prevents the onset or recurrence of periodontal diseases.

Tartar is a hardened calcified deposit that adheres firmly to tooth surfaces and cannot be removed by brushing—similar to limescale in a kettle, both are calcium salt deposits. The rough surface of tartar facilitates bacterial adhesion, so its harm extends beyond mechanical irritation: massive plaque accumulation infects the gums, causing inflammation, bleeding, swelling, pain, and even bad breath.
Dental cleaning works through high-frequency ultrasonic vibration, which loosens and removes tartar without damaging teeth or gums. Dental professionals recommend regular cleaning every 6 to 12 months.

Second, what is "periodontal scaling"?As mentioned earlier, untreated tartar over time leads to gingivitis. If left unaddressed, gingivitis progresses toward the tooth roots, forming periodontal pockets. Bacterial proliferation within these pockets causes inflammation and resorption of alveolar bone (periodontal disease). This explains why some people appear to have "longer teeth"—in reality, periodontal recession exposes the tooth roots, creating the illusion of elongated teeth. Without timely intervention, this ultimately results in tooth mobility and loss.

Periodontal scaling (also called root planing) involves removing infected cementum from root surfaces and eliminating tartar and plaque within periodontal pockets. Once periodontal pockets form due to gum disease, they gradually deepen, allowing tartar to accumulate subgingivally (below the gumline).
Key Differences Between Dental Cleaning and Periodontal Scaling

In simple terms:
Dental cleaning: Removes tartar,plaque, and stains from tooth surfaces, gum margins, and shallow subgingival areas.
Periodontal scaling: Required when tartar accumulates deep within periodontal pockets (beyond the reach of regular cleaning), targeting deposits in these pockets to treat established periodontal disease.
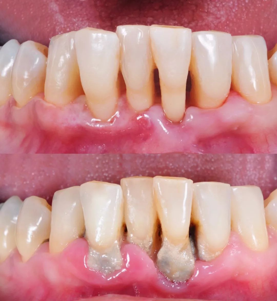
What Are the Changes Before and After Periodontal Scaling?
Before scaling: Abundant dark brown tartar accumulates around the gums, accompanied by bad breath and significant gingival redness/swelling.
After scaling: Gums return to a normal color, swelling subsides, appearing clean and healthy.
Why Does Periodontal Scaling Cause Significant Bleeding?
Bleeding occurs due to periodontal inflammation induced by long-term tartar irritation. Once the tartar is removed, the inflammation will gradually resolve, and bleeding will diminish.
Why Do Gaps Between Teeth Seem Larger After Scaling?
Tartar accumulation gradually pushes gums downward, causing recession. Additionally, extensive tartar fills the spaces around interdental areas. After removal, these gaps become visible, creating the impression of widened spaces. This is why dentists emphasize regular dental cleaning—receded gums rarely regenerate.

Is Periodontal Scaling Painful?
Pain perception depends on periodontal pocket depth and root surface smoothness:
For shallow pockets, scaling may cause minimal discomfort with no significant pain.
For patients with deep periodontal pockets, dentists may administer local anesthesia to ensure a comfortable treatment experience.