Subgingival Calculus: The "Invisible Saboteur" Silently Destroying Your Tooth Roots!
Subgingival Calculus: The "Invisible Saboteur" Silently Destroying Your Tooth Roots!
Introduction: An Overlooked "Time Bomb"

"I brush my teeth carefully every day and use floss—so why does my dentist say I have periodontitis? Why does this tooth feel loose?"For many people, the root cause of oral problems lies not on the surface, but in an invisible area: beneath the gumline. There lurks a potential "invisible killer"—subgingival calculus.
I. What is Subgingival Calculus? How Does It Differ from Regular Tartar?

1.Layman’s Explanation: A hardened "stone" formed by the calcification of dental plaque and food debris.
2.Key Differences:
1).Supragingival Calculus (Regular Tartar): Located above the gingival margin, visible to the naked eye, usually yellow or brown.
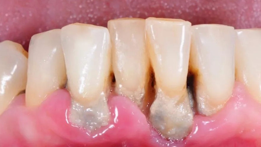
2).Subgingival Calculus (Star of This Article): Found below the gingival margin, within periodontal pockets, and tightly attached to the root surface. Invisible to the naked eye, it can only be detected by dentists using a periodontal probe.
3.Characteristics: Darker in color (dark brown or blackish-green), harder in texture, firmly adhering to tooth roots like cement, and highly destructive to periodontal tissues.

II. Hazard Alert: How Does This "Small Stone" Destroy Your Teeth?
Subgingival calculus is far more than just "dirt"—it is a persistent source of damage:
Engine of Periodontitis: The rough surface of subgingival calculus serves as an ideal "sanctuary" for bacteria. These bacteria continuously release toxins, triggering gingival inflammation and leading to the formation and deepening of periodontal pockets.
Devourer of Alveolar Bone: Sustained inflammation gradually erodes the alveolar bone that surrounds and supports tooth roots, causing bone resorption and atrophy. Just as a tree loosens when the soil around its roots washes away, teeth become loose as alveolar bone is lost.
Ultimate Catalyst for Tooth Mobility: When alveolar bone damage reaches a certain level, teeth begin to loosen and may eventually fall out.
Irreversible Harm: Gingival recession and alveolar bone resorption are largely irreversible. Once they occur, the tissues cannot return to their original height.
III. Self-Assessment & Symptoms: Is Your Teeth Sending These Distress Signals?

Though invisible, your body provides warnings:
1.Gingival Bleeding: Easy bleeding while brushing or flossing.
2.Gingival Redness, Swelling & Pus Discharge: Dark red, swollen gums that release pus from the gingival crevices when pressed.
3.Oral Malodor: Persistent bad breath that cannot be completely eliminated by cleaning.
4.Tooth Mobility or Migration: A feeling of teeth floating, or widening gaps between teeth.
5.Gingival Recession: Teeth appear longer as the root surface becomes exposed.
⚠️ Note: Subgingival calculus can exist even without obvious symptoms! Regular dental check-ups are crucial.
IV. Solutions: How to Defuse This "Time Bomb"?

Important Declaration: Subgingival calculus cannot be removed by daily cleaning methods such as brushing or mouthwash!The only effective approach is professional periodontal treatment:
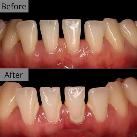
Supragingival Scaling (Teeth Cleaning): A foundational step to remove supragingival calculus and plaque first.
Subgingival Scaling (Deep Cleaning): The core treatment. Dentists use professional scalers (manual or ultrasonic) to reach deep into periodontal pockets, scraping off subgingival calculus and diseased tissues from the root surface.
Procedure Description: Local anesthesia may be administered for comfort. After scaling, the root surface becomes smooth, making it difficult for bacteria to reattach.
Periodontal Surgery: For severe cases with extremely deep periodontal pockets (>5mm), surgical procedures like periodontal flap surgery may be required for thorough debridement.
V. Prevention is Better Than Cure: How to Prevent Its Return?
Effective Brushing: Learn and consistently use the Bass method, focusing on cleaning the gingival sulcus.
Floss/Interdental Brushes Are Essentials: Use them daily to remove plaque between teeth—the first step in preventing subgingival calculus.
Regular Professional Scaling: Undergo professional scaling every 6–12 months to promptly remove newly formed plaque and calculus.
Regular Periodontal Check-Ups: Especially for patients with a history of periodontitis, follow the dentist’s advice for regular re-evaluations and maintenance (e.g., every 3–6 months).

Conclusion
Subgingival calculus, this hidden "silent killer," is quietly threatening the dental health of countless people. It reminds us that oral health is far more than just "white teeth." Investing in professional periodontal treatment is far more cost-effective than spending heavily on dental implants in the future.
Don’t ignore the warnings from beneath your gums—schedule an appointment with your dentist today for a thorough "deep cleaning" of your teeth!