Case Report: Single Implant Restoration for Posterior Teeth
Case Report: Single Implant Restoration for Posterior Teeth
Client:male 52years
First visit:Sep,14th 2024
Clients' Chief Complaints:Toothache,unbearable at night
Diagnosed:
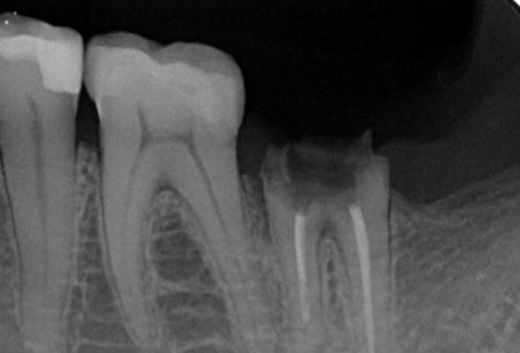
Tooth #47 underwent root canal treatment at another clinic a decade ago.
Two weeks prior to the current visit, the ceramic crown, along with its post and core, became dislodged, leaving the residual tooth structure compromised.
Treatment Process
1.After thorough communication with the patient, the residual root of Tooth #47 was extracted.
Pre-extraction images


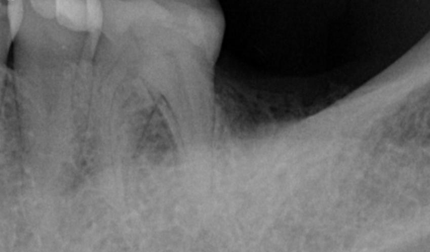
2. A follow-up examination was conducted three months after tooth extraction upon complete wound healing, and implant restoration was initiated.
Post-extraction wound healing status


3. During the implant placement, a certain degree of bone and soft tissue deficiency was identified in the edentulous area. Consequently, bone graft (0.25g) and a collagen membrane were simultaneously placed.
Bone and soft tissue deficiency in the edentulous area

Placement of 0.25g bone graft during implantation

Placement of one collagen membrane during implantation

Suture completion post-implantation

Suture removal status three weeks after implantation

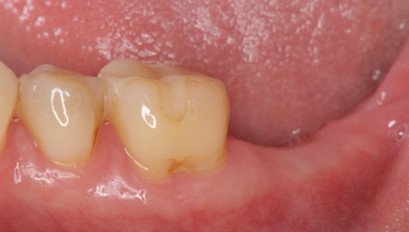
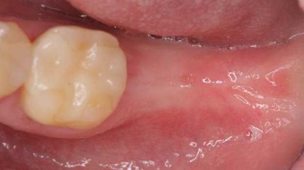
4. Wound status of Tooth #47 prior to the second-stage implant surgery (5 months post-implantation)

Completion of second-stage restoration: Healing abutment placement

5.Prior to the third-stage restoration (5.5 months post-implantation)

Removal of the healing abutment from the implant,
Shade selection,3D scanning,Impression taking for crown fabrication

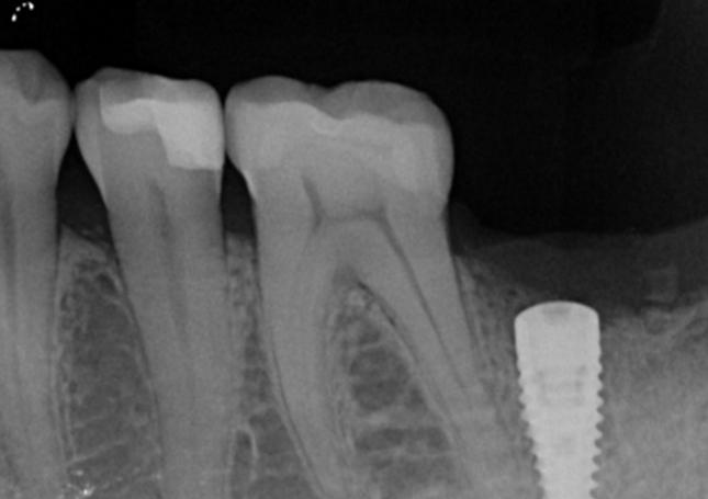
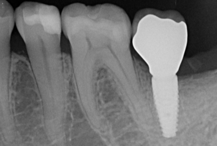
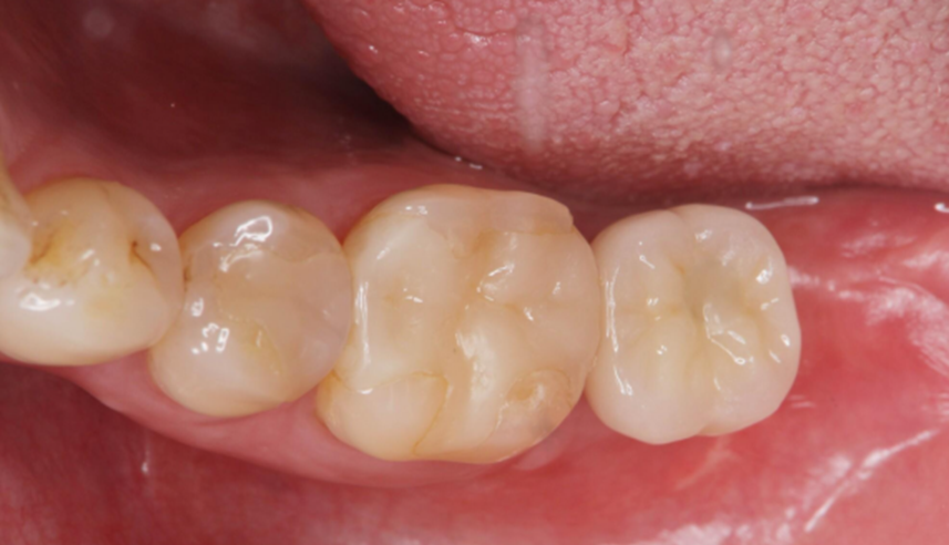
5.Following a 6-month osseointegration period, the implant exhibited favorable bone integration, and the final crown was successfully delivered.

The patient completed the full restoration of Tooth #47 over a 9-month period.