
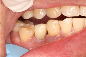
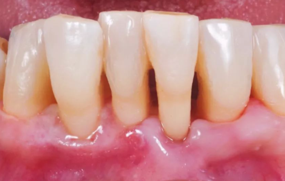
Yet, many people notice triangular black gaps between their teeth when smiling—these are what dentists refer to as black triangles between teeth. Beyond impairing smile aesthetics, these gaps can trap food debris and harbor bacteria, triggering oral health issues.

Black triangles between teeth, known by their scientific name interdental triangular spaces, are triangular gaps exposed after the recession of interdental papillae between two adjacent teeth. Deprived of gingival coverage, these gaps appear black under light, hence the descriptive term "black triangles".
They most commonly occur in the anterior dental region (particularly between central incisors and lateral incisors) and may also develop between molars. Essentially, black triangles are a manifestation of gingival tissue loss, creating a space between the interproximal contact point of teeth and the gingival margin. In addition to compromising appearance, they can lead to food impaction, halitosis, and even exacerbate gingival inflammation.

To solve a problem, we must first identify its root cause. The formation of black triangles between teeth is often the result of multiple interacting factors, primarily categorized into two types:
Age-related changes: Gingiva undergoes natural mild recession with aging, similar to skin sagging—a normal physiological process. The risk of black triangles increases with age.
Tooth morphology: Teeth with a narrow crown and wide root morphology (e.g., some inherently thin incisors) have a low interproximal contact point, making it difficult for interdental papillae to fill the gaps, thus predisposing to black triangles.
Genetic factors: Individuals whose parents have black triangles are at a relatively higher risk, which is linked to innate traits such as gingival thickness and elasticity.
Periodontal disease: This is the leading culprit of black triangles! Gingivitis and periodontitis cause gingival redness, swelling, and bleeding. Untreated cases over time destroy the alveolar bone beneath the gingiva, leading to gingival recession due to loss of support, and eventually forming black triangles.
Improper oral hygiene practices: Brushing too aggressively (especially horizontal brushing with a hard-bristled toothbrush) or forcefully flossing can damage interdental papillae, causing recession. Conversely, inadequate cleaning leads to plaque and calculus accumulation, triggering periodontal problems and indirectly inducing black triangles.
Impact of orthodontic treatment: Excessively fast tooth movement, excessive traction force during orthodontics, or failure to promptly close dental spaces post-treatment may prevent interdental papillae from regenerating in time, leaving behind black triangles.
Dental crowding/absence: Crowded teeth make interproximal cleaning difficult, facilitating bacterial growth. Long-term non-restoration of missing teeth causes adjacent teeth to tilt and shift, disrupting normal interproximal contact relationships—both of which can induce black triangles.
There is no need for blind anxiety when facing black triangles. Dentists will recommend targeted solutions based on the size, location of the gaps, and gingival health status, mainly classified into the following categories:
For small black triangles with no gingival inflammation or significant alveolar bone resorption, priority is given to gingival care and minor adjustments:
Optimize oral hygiene: Switch to a soft-bristled toothbrush and adopt the Bass brushing technique (gently brush the gingival margin at a 45° angle). When flossing, slide the floss gently along the interproximal surfaces of teeth to avoid gingival damage. Undergo regular professional teeth cleaning every 6–12 months to remove calculus and prevent periodontitis.
Gingival massage and care: Gently massage the gingiva with finger pulp after brushing to promote blood circulation. If necessary, use fluoride-containing mouthwash or gingival care products under a doctor’s guidance to enhance gingival elasticity.
Resin filling (minimally invasive restoration): Dentists apply tooth-colored composite resin to slightly fill the interproximal surfaces, closing the black triangles. This is a fast, minimally invasive procedure suitable for small gaps in anterior teeth.
If black triangles affect aesthetics and the gingival condition is stable (no inflammation or progressive recession), aesthetic restoration options are available:
Porcelain veneers/resin veneers: This is one of the most popular solutions! Bonding a thin layer of porcelain or resin to the tooth surface not only fills black triangles but also improves tooth color and morphology, delivering natural, long-lasting results (porcelain veneers offer superior durability, while resin veneers are more cost-effective).
Dental crown restoration: For teeth with defects, discoloration, or black triangles accompanied by poor tooth morphology, all-ceramic crowns can be placed to reshape interproximal contact relationships and close gaps. However, this invasive restoration requires grinding a small amount of tooth structure, so it should be chosen cautiously.
For large black triangles accompanied by malocclusion and alveolar bone resorption, root causes must be addressed first, followed by aesthetic restoration:
Periodontal basic treatment: Prioritize scaling and root planing to control periodontal inflammation, preventing further gingival recession and alveolar bone loss (this is a prerequisite for all subsequent treatments—uncontrolled inflammation will compromise restoration outcomes).
Orthodontic adjustment: Secondary orthodontic treatment moves teeth to optimal positions, elevates interproximal contact points, creates space for interdental papilla regeneration, and reduces black triangles. For black triangles caused by tooth tilting, orthodontics can restore normal interproximal contact relationships.
Gingival graft surgery: If gingival thickness is insufficient, dentists harvest a small amount of healthy gingival tissue from other intraoral sites and transplant it to the black triangle area, increasing gingival height and thickness to fill the gaps. As a surgical procedure, it involves certain trauma and requires careful post-operative care.

Black triangles are fundamentally caused by gingival recession and alveolar bone loss, so prevention hinges on protecting gingival and periodontal health:
Adhere to scientific cleaning: Use a soft-bristled toothbrush with the Bass brushing technique, clean interproximal surfaces with floss daily, and undergo regular professional teeth cleaning to prevent plaque and calculus buildup.
Avoid gingival damage: Refrain from using hard-bristled toothbrushes, aggressive brushing, or forceful flossing. Exercise caution when biting hard objects (e.g., nuts, bones) to avoid excessive tooth displacement due to heavy force.
Promptly treat oral issues: Seek timely dental care for gingival bleeding or swelling to manage gingivitis. Restore missing teeth within 3 months (via dental implants, porcelain bridges, etc.) to prevent adjacent tooth migration. Choose reputable institutions and experienced dentists for orthodontic treatment, and wear retainers as instructed.
Regular oral examinations: Undergo oral check-ups every 6 months to detect potential issues such as periodontal problems and tooth displacement early, enabling timely intervention and resolution.
